La TC con Mezzo di Contrasto nella Sepsi: Prospettive dai Radiologi d’Urgenza Europei
Definire il Timing e il Ruolo Diagnostico della CECT
La gestione tempestiva della sepsi rappresenta una delle sfide più critiche in medicina d’urgenza. Sebbene l’identificazione precoce del focolaio infettivo sia fondamentale, le attuali linee guida internazionali non definiscono ancora in modo univoco il ruolo e la tempistica ottimale della tomografia computerizzata con mezzo di contrasto (CECT).
Un recente studio basato su un’indagine della European Society of Emergency Radiology (ESER), pubblicato su European Radiology con il titolo Contrast-enhanced CT in sepsis: insights from a European Emergency Radiology survey, esplora le prospettive dei radiologi d’urgenza sul ruolo della CECT nel percorso diagnostico dei pazienti settici.
Il Contesto: Colmare un Vuoto nelle Linee Guida
Nonostante la CECT sia ampiamente utilizzata nella pratica clinica per confermare i sospetti di focolai infettivi e guidare interventi chirurgici o antibiotici, mancano raccomandazioni specifiche su “quando” e “come” applicarla. La diagnosi di sepsi si basa spesso su parametri clinici e di laboratorio che possono risultare imprecisi, rendendo l’imaging un pilastro fondamentale per la gestione del paziente.
Lo Studio: L’Opinione degli Esperti ESER
L’analisi ha coinvolto 144 radiologi d’urgenza membri dell’ESER, confrontando le loro risposte con quelle di clinici e radiologi generali ottenute in precedenza. Il sondaggio ha indagato aspetti cruciali quali:
- Il timing ottimale per l’esecuzione della CECT.
- Le indicazioni cliniche per la ripetizione dell’esame.
- La gestione delle controindicazioni al mezzo di contrasto iodato.
I Risultati: Consenso sulla Tempestività e sulla Ripetizione dell’Imaging
I dati evidenziano un forte accordo sulla necessità di un intervento diagnostico rapido, ma con alcune sfumature interdisciplinari:
- Finestra temporale ottimale: La maggior parte dei radiologi d’urgenza (45,8%) concorda su un intervallo di 1-6 ore dalla diagnosi di sepsi per l’esecuzione della CECT.
- Accettazione di ritardi: Rispetto ai clinici, i radiologi d’urgenza mostrano una maggiore tendenza ad accettare finestre superiori alle 12 ore (35,6% vs 3,2%), probabilmente a causa della necessità di bilanciare altre emergenze (traumi, emergenze vascolari).
- Ripetizione dell’esame: I radiologi d’urgenza sono significativamente più propensi a raccomandare una ripetizione della TC in caso di deterioramento clinico del paziente (35,3%) rispetto ai clinici, che appaiono più esitanti (2,9%).
- Gestione dei rischi: Vi è un generale consenso sul fatto che la radioprotezione non debba rappresentare una controindicazione in contesti ad alta mortalità come la sepsi. Tuttavia, i radiologi d’urgenza si sono dimostrati più cauti riguardo all’uso del mezzo di contrasto in pazienti con anamnesi di reazioni avverse gravi o insufficienza renale.
Implicazioni Cliniche: Verso un Percorso Diagnostico Condiviso
Il messaggio principale che emerge dallo studio è che la CECT è percepita come uno strumento essenziale per la gestione della sepsi, ma la mancanza di standardizzazione richiede una migliore integrazione dei flussi di lavoro interdisciplinari.
Per il radiologo, questi risultati sottolineano:
- L’importanza di garantire l’accesso tempestivo all’imaging per non ritardare il trattamento del focolaio.
- La necessità di valutare clinicamente l’opportunità di ripetere l’esame se il quadro clinico peggiora, nonostante la stabilità radiologica iniziale.
- Il ruolo centrale del radiologo nel bilanciare i rischi del mezzo di contrasto con il beneficio diagnostico vitale in fase acuta.
Messaggio Chiave
Esiste un ampio consenso sulla rilevanza della CECT eseguita tempestivamente (entro 1-6 ore) per la gestione della sepsi. Le differenze nelle prospettive tra radiologi d’urgenza e clinici, specialmente riguardo alla ripetizione dell’imaging, evidenziano la necessità di protocolli interdisciplinari più definiti per ottimizzare il decision making clinico e la prognosi del paziente settico.
Per approfondire
Stahl A-C., Rubarth K., Opper Hernando M.I., et al. Contrast-enhanced CT in sepsis: insights from a European Emergency Radiology survey European Radiology (2025)
https://doi.org/10.1007/s00330-025-12256-y
Angio-TC Polmonare Spettrale: Ottimizzazione del Mezzo di Contrasto
Ridurre la Dose Senza Compromettere la Diagnosi
L’angio-TC del circolo polmonare (CTPA) è il cardine diagnostico per l’embolia polmonare (EP) acuta. Tuttavia, l’uso di protocolli a basso dosaggio di mezzo di contrasto iodato (ICM) è sempre più auspicabile per la sicurezza del paziente, per ragioni economiche e per far fronte a possibili carenze di scorte.
Un recente studio randomizzato controllato, pubblicato su European Radiology con il titolo Vascular attenuation and volumetric lung iodine density in dual-layer spectral CT pulmonary angiography, analizza come la tecnologia spettrale permetta di ridurre drasticamente il volume di contrasto mantenendo un’elevata accuratezza diagnostica.
Lo Studio: Tre Protocolli a Confronto
I ricercatori hanno valutato 150 pazienti sospetti per EP, suddivisi casualmente in tre gruppi con diversi protocolli di somministrazione di ICM (400 mgI/mL):
- Protocollo A: 40 mL a 4 mL/s (Dose standard ridotta).
- Protocollo B: 30 mL a 3 mL/s.
- Protocollo C: 20 mL di ICM diluiti con 20 mL di soluzione salina a 4 mL/s (Dose ultrabassa).
L’analisi si è focalizzata sull’attenuazione vascolare (VA) nelle immagini convenzionali e in quelle monoenergetiche a bassa energia (LEVMI, 45 keV), oltre che sulla valutazione della densità di iodio volumetrica (VID) per lo studio della perfusione polmonare.
I Risultati: Il Potere delle Immagini Monoenergetiche
I dati mostrano come la TC spettrale a doppio strato (dual-layer) superi i limiti dei protocolli a basso dosaggio:
- Attenuazione Vascolare: Nelle immagini convenzionali, il Protocollo C è risultato insufficiente nel 30% dei casi (VA < 200 HU). Tuttavia, l’uso delle mappe LEVMI a 45 keV ha garantito livelli diagnostici (> 200 HU) in tutti i pazienti di tutti i protocolli.
- Mappe di Perfusione: Sebbene la qualità delle mappe di iodio e i valori di VID fossero significativamente inferiori nel Protocollo C, i difetti di perfusione sono stati identificati in tutti i casi di embolia polmonare confermata, indipendentemente dal protocollo.
- Risparmio di Contrasto: Il Protocollo B (30 mL) ha mostrato risultati di qualità sovrapponibili al Protocollo A, consentendo un risparmio del 25% di ICM e l’uso di accessi venosi meno performanti grazie alla velocità di iniezione ridotta (3 mL/s).
Implicazioni Cliniche: Verso una CTPA più Sicura ed Efficiente
Lo studio conferma che la TC spettrale non è solo uno strumento di analisi avanzata, ma un vero alleato nella pratica quotidiana per:
- Garantire esami diagnostici anche in presenza di boli di contrasto non ottimali o dosaggi ridotti, “salvando” acquisizioni che risulterebbero non diagnostiche con la TC convenzionale.
- Mantenere l’accuratezza nella ricerca di difetti di perfusione, fondamentale per identificare piccoli emboli subsegmentali che potrebbero sfuggire all’analisi puramente anatomica.
- Uniformare i protocolli verso il principio “as low as reasonably achievable” per il mezzo di contrasto, migliorando il profilo di sicurezza renale del paziente.
Messaggio Chiave
L’angio-TC polmonare spettrale consente una valutazione affidabile dell’embolia polmonare e della perfusione polmonare con dosi di contrasto fino a 20-30 mL. L’impiego routinario di immagini monoenergetiche a 45 keV assicura un’attenuazione arteriosa sempre diagnostica, rendendo l’imaging dell’EP più sicuro, efficiente e sostenibile.
Per approfondire
Ferrández-Ferrández D., Arenas-Jiménez J.J., Ureña Vacas A., et al. Vascular attenuation and volumetric lung iodine density in dual-layer spectral CT pulmonary angiography: a randomized controlled trial comparing three contrast doses European Radiology (2025) https://doi.org/10.1007/s00330-025-12309-2
Il Cuore Prima della Chemio: Fibrosi e Alterazioni dello Strain nei Pazienti Oncologici
Nuovi Biomarker di Rimodellamento Miocardico Pre-Trattamento
Tradizionalmente, la cardio-oncologia si è concentrata sul monitoraggio della cardiotossicità indotta dai trattamenti. Tuttavia, evidenze emergenti suggeriscono che il tumore stesso possa innescare alterazioni miocardiche precoci, mediate da infiammazione sistemica e attivazione neuro-ormonale, ancor prima dell’inizio della terapia.
Uno studio prospettico caso-controllo, pubblicato su La Radiologia Medica con il titolo Myocardial fibrosis and strain impairment in treatment-naïve cancer patients, esplora il potenziale della Risonanza Magnetica Cardiaca (CMR) nell’identificare segnali precoci di danno miocardico in pazienti con linfoma a grandi cellule B (DLBCL) mai trattati.
Il Contesto: L’Infiammazione come Driver del Danno
Il cancro è una malattia sistemica. Lo stato infiammatorio cronico e il rilascio di citochine pro-infiammatorie possono influenzare il metabolismo e la struttura del miocardio. Identificare queste alterazioni prima che la chemioterapia abbia inizio è cruciale per una corretta stratificazione del rischio cardiovascolare e per distinguere gli effetti del tumore da quelli dei farmaci.
Lo Studio: CMR e Caratterizzazione Tissutale Avanzata
I ricercatori hanno confrontato:
- 50 pazienti oncologici con diagnosi di DLBCL, naive al trattamento.
- 50 controlli sani, appaiati per età e sesso.
Il protocollo CMR ha previsto l’analisi della funzione biventricolare, dello strain miocardico (Feature Tracking), dei tempi di rilassamento (T1 e T2 mapping) e del volume extracellulare (ECV) per la valutazione della fibrosi interstiziale diffusa.
I Risultati: Fibrosi e Disfunzione Subclinica
Nonostante una frazione di eiezione (LVEF) conservata e sovrapponibile ai controlli, i pazienti oncologici hanno mostrato differenze significative:
- Espansione del Volume Extracellulare (ECV): I pazienti con linfoma hanno mostrato valori di ECV significativamente più alti rispetto ai sani, indicando una fibrosi interstiziale diffusa già presente in fase pre-trattamento.
- Compromissione dello Strain: È stata rilevata una riduzione dello strain longitudinale globale (GLS) e dello strain circonferenziale, segni di una disfunzione contrattile subclinica.
- Assenza di Edema Attivo: I valori di T2 mapping non hanno mostrato differenze significative, suggerendo che le alterazioni osservate siano legate a un rimodellamento strutturale (fibrosi) piuttosto che a un’infiammazione acuta (edema).
- Correlazione Clinica: I livelli di emoglobina e la conta linfocitaria sono risultati correlati alle alterazioni dello strain, supportando l’ipotesi di un legame tra lo stato sistemico del paziente e la salute miocardica.
Implicazioni Cliniche: Un Nuovo Baseline per la Cardio-Oncologia
Questi risultati cambiano il paradigma del monitoraggio cardio-oncologico:
- Screening Pre-Trattamento: La valutazione della fibrosi interstiziale e dello strain tramite CMR può identificare pazienti “fragili” che potrebbero essere a maggior rischio di cardiotossicità futura.
- Personalizzazione della Terapia: Sapere che il miocardio è già alterato permette di modulare i regimi terapeutici o implementare strategie di cardioprotezione precoce.
- Ruolo del Radiologo: Il radiologo non è più solo colui che “conta” la riduzione della frazione di eiezione, ma un attore chiave nella caratterizzazione tissutale fine per la stratificazione prognostica.
Messaggio Chiave
Il rimodellamento miocardico nei pazienti oncologici inizia prima della chemioterapia. La CMR, attraverso lo studio dell’ECV e dello strain, è in grado di rilevare fibrosi interstiziale e disfunzione subclinica silenti, offrendo biomarker precoci essenziali per una gestione integrata e moderna del paziente cardio-oncologico.
Per approfondire Catapano F., Lisi C., Stefanini G., et al. Myocardial fibrosis and strain impairment in treatment-naïve cancer patients: insights into cancer-related myocardial remodeling from a prospective case–control CMR study La Radiologia Medica (2026) https://doi.org/10.1007/s11547-026-02178-0
Il “RealWorld” dei Giovani Radiologi Italiani: Sfide, Aspettative e Work-Life Balance
Un’Analisi sulle Prospettive di Carriera della Nuova Generazione
Il panorama della radiologia italiana sta attraversando una fase di profonda trasformazione. La crescente domanda di prestazioni, l’evoluzione tecnologica e il mutato contesto socio-economico stanno ridefinendo le priorità dei professionisti più giovani. Comprendere le loro aspirazioni e le fonti di insoddisfazione è cruciale per preservare l’attrattività della nostra disciplina.
Un recente studio nazionale, promosso dal Comitato Young SIRM e pubblicato su La Radiologia Medica con il titolo The real world of Italian new-generation radiologists: challenges and career expectations, scatta una fotografia dettagliata della realtà vissuta da specializzandi e giovani radiologi (under 35).
Il Contesto: Oltre la Diagnostica, il Benessere Lavorativo
Per la nuova generazione, il successo professionale non si misura più solo in termini di prestigio accademico o volume di referti, ma è strettamente legato alla qualità della vita e alla sostenibilità del carico di lavoro. Lo studio esplora come fattori quali la remunerazione, l’equilibrio tra vita privata e lavoro (work-life balance) e l’intelligenza artificiale influenzino le scelte di carriera.
Lo Studio: La Voce dei Giovani SIRM
Il sondaggio ha raccolto le risposte di oltre 200 giovani radiologi (55% specializzandi, 45% specialisti), analizzando aspetti fondamentali del loro percorso professionale:
- Soddisfazione lavorativa: I dati rivelano una tendenza preoccupante, con i radiologi senior (tra i giovani specialisti) che riportano i livelli più bassi di soddisfazione rispetto ai colleghi più giovani.
- Le criticità: I principali fattori di insoddisfazione identificati sono la remunerazione inadeguata (73%), seguita dalla mancanza di tempo per la ricerca (64%) e da un carico di lavoro eccessivo (48%).
- Il ruolo dell’IA: Sebbene l’Intelligenza Artificiale sia vista come un’opportunità per ridurre il carico di lavoro, oltre il 60% degli intervistati esprime preoccupazione per le questioni etiche e legali legate alla sua implementazione.
I Risultati: Il Desiderio di Flessibilità e Specializzazione
L’analisi mette in luce un cambiamento nelle preferenze di carriera:
- Flessibilità e Teleradiologia: Quasi il 90% degli intervistati ritiene fondamentale avere orari di lavoro flessibili, e la teleradiologia è vista come uno strumento chiave per migliorare il work-life balance.
- Pubblico vs Privato: Mentre l’ospedale pubblico rimane una palestra formativa essenziale, si nota una crescente attrazione verso il settore privato o la libera professione, spesso dettata dalla ricerca di migliori condizioni economiche e organizzative.
- Sottospecializzazione: La stragrande maggioranza dei giovani radiologi aspira a una carriera iperspecialistica, segno di una disciplina che richiede competenze sempre più verticali e approfondite.
Implicazioni per il Futuro: Ascoltare per Innovare
I risultati di questo studio rappresentano un campanello d’allarme e, allo stesso tempo, una guida per le istituzioni e le società scientifiche:
- Migliorare le condizioni contrattuali: Per trattenere i talenti nel sistema pubblico, è necessario affrontare il tema della remunerazione e della gestione dei carichi di lavoro.
- Supportare la ricerca: Creare spazi protetti per l’aggiornamento e la produzione scientifica è fondamentale per mantenere alto l’interesse dei giovani.
- Integrazione etica dell’IA: È necessario un supporto formativo e normativo che accompagni i giovani nell’uso delle nuove tecnologie, riducendone le ansie professionali.
Messaggio Chiave
La nuova generazione di radiologi italiani chiede più flessibilità, un riconoscimento economico equo e una migliore integrazione tra vita e lavoro. Ignorare queste istanze rischia di alimentare la fuga verso il settore privato o l’estero. Il futuro della radiologia italiana dipende dalla capacità del sistema di evolversi insieme ai suoi membri più giovani, mettendo il benessere del professionista al centro della crescita tecnologica e clinica.
Per approfondire Carriero S., Lorusso G., Ce’ M., et al. The real world of Italian new-generation radiologists: challenges and career expectations La Radiologia Medica (2025) https://doi.org/10.1007/s11547-025-02127-3
Glossario radiologico
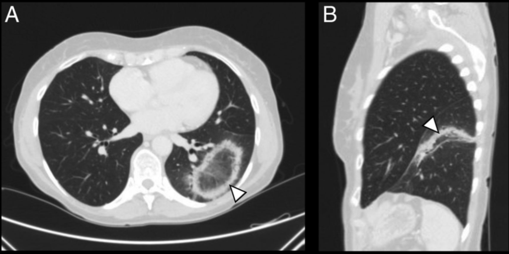
CASO 1
Donna di 40 anni, tosse secca, febbricola
TC torace senza mdc:
In quale condizione si riscontra questo segno radiologico?
A) Polmonite batterica lobare
B) Adenocarcinoma polmonare multifocale
C) Sarcoidosi
D) Polmonite organizzativa criptogenetica
E) Vasculite ANCA-correlata
Risposta esatta: D
COP:
- Consolidamenti periferici/subpleurici
- Distribuzione peribroncovascolare
- Infiltrati migranti
- “Reversed halo sign” (consolidamento periferico ad anello con centro a vetro smerigliato)
Il punto fine (quello che distingue il bravo radiologo)
- Non segue distribuzione lobare batterica
- Non dà distruzione parenchimale
- Può simulare neoplasia multifocale
- Spesso risponde drammaticamente ai corticosteroidi
Differenziale insidiosa
- Adenocarcinoma in situ
- Vasculiti
- Polmoniti eosinofile
- ARDS organizzativa
La migrazione delle lesioni nel tempo è un indizio molto forte.
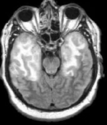
CASO 2
Uomo di 41 anni, febbre da 3 giorni, confusione, crisi epilettica focale.
Qual è la diagnosi più probabile?
A) Glioma temporale bilaterale
B) Encefalite limbica paraneoplastica
C) Encefalite erpetica
D) Infarto bilaterale dell’arteria cerebrale media
E) Sclerosi mesiale temporale
Risposta esatta: C
Il coinvolgimento dei lobi temporali mesiali, spesso asimmetrico, con possibile componente emorragica è altamente suggestivo per encefalite da HSV-1.
Il punto fine:
- Distribuzione limbica
- Tendenza a coinvolgere corteccia e sostanza bianca subcorticale
- Possibili microemorragie
L’infarto arterioso non rispetterebbe questa distribuzione.
Il glioma non evolve così rapidamente né con febbre.
CASO 3
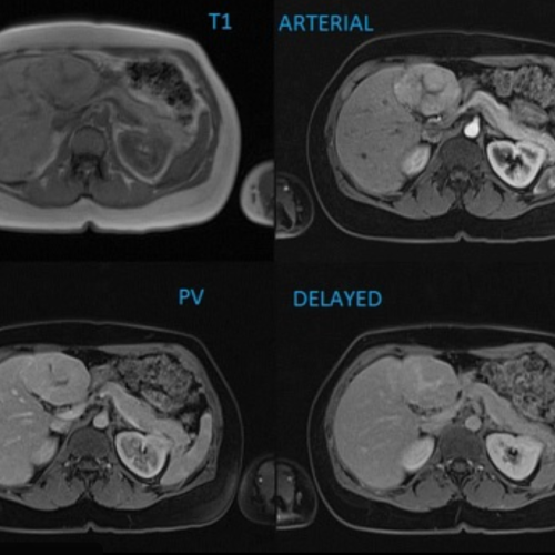
Donna di 32 anni, incidentaloma epatico di 4 cm. APR: Nessuna epatopatia, nessuna cirrosi. Assume contraccettivi orali.
Quale caratteristica permette di distinguere questa lesione da un adenoma epatico?
A) Enhancement arterioso precoce
B) Presenza di cicatrice centrale
C) Assenza di wash-out portale
D) Iperintensità in fase epatobiliare
E) Dimensioni > 3 cm
Risposta esatta: D
FNH:
Si tratta di iperplasia nodulare focale (FNH).
La chiave è la fase epatobiliare:
- La FNH contiene epatociti funzionanti → capta il mezzo di contrasto epatospecifico
- L’adenoma generalmente appare ipo-intenso in fase epatobiliare
La cicatrice centrale aiuta, ma non è sempre presente.
L’enhancement arterioso non è discriminante (anche l’adenoma è ipervascolare).



